Se originan en las células madre pluripotenciales en las que predominan los mieloblastos y otras se originan en el precursor de monocitos y granulocitos. Más común en niños menores de 1 año y en adultos de 40 años (Rodak, 2007).
Clasificación: La más utilizada es la del FAB (grupo francoamericano británico), reactualizada recientemente. Divide a la LMA (leucemia mieloide aguda) en 7 tipos morfológicos con varios subtipos:
- Mo: Leucemia mieloblástica con diferenciacion mínima.
- M1: Leucemia mieloblástica mal diferenciada.
- M2: Leucemia mieloblástica diferenciada.
- M3: Leucemia promielocítica. (M3-V: LPA variante hipogranular)
- M4: Leucemia granulocítica monocítica (M4-Eo: con eosinofilia medular)
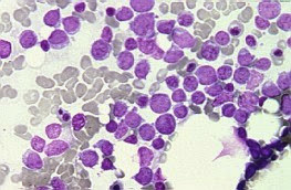
- M5a: Leucemia monoblástica.
- M5b: Leucemia monocítica.
- M6: Eritroleucemia.
- M7: Leucemia megacarioblástica.
(Moneva, s.f)
Figura 98. Leucemia mieloblástica mal diferenciada. Muestra: Médula ósea (MO)
Tinción: Wright. Aumento: 100x
Fuente: (Moneva, s.f)
Predominancia: Mieloblastos son más del 30% (Rodak, 2007).
Figura 99. Leucemia mieloblásitca diferenciada. Muestra: Médula ósea (MO)
Tinción: Wright. Aumento: 100x
Fuente: (Moneva, s.f)
Predominancia: 90% blastos y el 10% más allá del estadío de promielocito
Figura 100. Leucemia promielocítica. Muestra: Médula ósea (MO)
Tinción: Wright. Aumento: 100x
Fuente: (Moneva, s.f)
Predominancia: Promielocitos abundantes (si los gránulos son abundantes se clasifica como hipergranular y si los gránulas son pequeños se clasifica como microgranular) (Rodak, 2007).
Figura 101. Leucemia granulocítica monocítica. Muestra: Médula ósea (MO)
Tinción: Wright. Aumento: 100x
Fuente: (Moneva, s.f)
Predominancia: Las células malignas son las granulocíticas y monocíticas (Rodak, 2007).
Figura 102. Leucemia monoblástica. Muestra: Médula ósea (MO)
Tinción: Wright. Aumento: 100x
Fuente: (Moneva, s.f)
Predominancia: El 80% son monoblastos
Figura 103. Eritroleucemia. Muestra: Médula ósea (MO)
Tinción: Wright. Aumento: 100x
Fuente: (Moneva, s.f)
Predominancia: Más del 50% de las células son eritrocitos nucelados (Relación mieloide : eritroide invertida)
Figura 104. Leucemia megacarioblástica.. Muestra: Médula ósea (MO)
Tinción: Wright. Aumento: 100x
Fuente: (Moneva, s.f).
Predominancia: Presencia de 30% de blastos en médula ósea (30% de estos son megarioblastos
Hallazgos de laboratorio:
- Prácticamente siempre existe Anemia y trombocitopenia en el hemograma, a veces con cifras extremas.
-Aproximadamente la mitad de los pacientes precentan cifras leucocitarias con neutrófilos < 10 x 10 /L (Neutropenia) con hipolobulación, hiposegmentación u otras alteraciones displásicas.
- Las células blásticas comprenden desde el 5 al 95% del total leucocitario y están presentes en el 80 - 85% de los pacientes, existiendo formas paucitoblásticas.
- En el aspirado de médula ósea se observa una infiltracion monomorfa celular, con "hiato leucémico" (sin diferenciación hacia estadíos posteriores) que tiene diferente aspecto según la variedad citológica de LMA.
- Sus características específicas (bastones de Auer), junto con la reactividad citoquimica y la aplicacion de anticuerpos monoclonales, clasifican la LMA dentro de las diferenetes variedades de la clasificación FAB.
(Moneva, s.f)
Referencias bibliográficas:
Moneva, J. (s.f). EN Boletín oncológico. Recuperado de: http://www.boloncol.com/boletin-11/leucemias.html
Rodak, F. (2007). Hematología: Fundamentos y aplicaciones clínicas. (2da. E). Recuperado de: http://books.google.com.gt/booksid=rFqhpbKnWX8C&pg=PA213&dq=anemia+ferropenica&hl=es&sa=X&ei=4tdcVLvFIIacgwTC64HgCw&sqi=2&ved=0CE8QuwUwCQ#v=onepage&q=anemia%20ferropenica&f=false







No hay comentarios:
Publicar un comentario