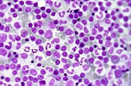
Figura 95. Linfocitos circulantes de aspecto maduro. Muestra: SP
Tinción: Wright. Aumento: 100x
Fuente: (Moneva, s.f)
Figura 96. Infiltración medular linfoide. Muestra: Médula ósea (MO)
Tinción: Wright. Aumento: 100x
Fuente: (Moneva, s.f)
Hallazgos de laboratorio:
- Leucocitosis generalmente entre 20 - 150 x 109/L con una linfocitosis superior al 70%, citomorfológicamente normales, pero con gran fragilidad, rompiéndose fácilmente.
- La médula ósea está invariablemente infiltrada con uno de estos 4 patrones: intersticial (33%), nodular (10%), mixto (25%) y difuso (25%) que es el de peor pronóstico.
- Los ganglios linfáticos presentan generalmente un infiltrado difuso de linfocitos pequeños idéntico al del Linfoma linfocítico bien diferenciado.
(Moneva, s.f)
TRICOLEUCEMIA
Se observan núcleos reniformes a ovalados, cromatina finamente granular, citoplasma gris fino con proyecciones (filipodia) -peludas- (Rodak, 2007).
Figura 97. Tricoleucemia. Muestra: Sangre periférica (SP)
Tinción: Wright. Aumento: 100x
Fuente: (Moneva, s.f).
Manifestación clínica:
- Supone el 2 al 5% de todas las leucemias, con la mediana en los 55 años y claro predominio masculino (80%).
- Existe esplenomegalia en el 80-90% de los casos, siendo gigantes en el 25%. El rasgo biológico más relevante es la pancitopenia (reducción de todas las lineas celulares) periférica y el hallazgo diagnóstico clave es la presencia de tricoleucocitos (células peludas) circulantes.
(Moneva, s.f).
Referencias bibliográficas:
Moneva, J. (s.f). EN Boletín oncológico. Recuperado de: http://www.boloncol.com/boletin-11/leucemias.html
Rodak, F. (2007). Hematología: Fundamentos y aplicaciones clínicas. (2da. E). Recuperado de: http://books.google.com.gt/booksid=rFqhpbKnWX8C&pg=PA213&dq=anemia+ferropenica&hl=es&sa=X&ei=4tdcVLvFIIacgwTC64HgCw&sqi=2&ved=0CE8QuwUwCQ#v=onepage&q=anemia%20ferropenica&f=false



Realmente aprecio al Dr. AKHIGBE, mi nombre es LAURIE HUGHES. Nunca dejaré de testificar sobre el DR AKHIGBE. La felicidad es todo lo que veo ahora. Nunca pensé que volvería a curarme del virus del VIH. El Dr. AKHIGBE lo hizo por mí. He estado sufriendo de una enfermedad mortal (VIH) durante los últimos 2 años, he gastado mucho dinero yendo de un lugar a otro, de iglesia en iglesia, los hospitales han sido mi hogar todos los días. Los controles constantes han sido mi pasatiempo hasta este fatídico día, vi un testimonio sobre cómo el Dr. AKHIGBE ayudó a alguien a curar su enfermedad del VIH en Internet rápidamente Copié su correo electrónico que es drrealakhigbe@gmail.com solo para darle una prueba Hablé a él, me pidió que hiciera algunas cosas que hice, me dijo que me iba a proporcionar la cura a base de hierbas, lo cual hizo, luego me pidió que fuera a un chequeo médico después de algunos días, después de usar el cura a base de hierbas y lo hice, he aquí que estaba libre de la enfermedad mortal, hasta ahora no había VIH en mí otra vez, solo me pidió que publicara el testimonio en todo el mundo, fielmente lo estoy haciendo ahora, todo el testimonio del DR AKHIGBE es cierto, por favor. HERMANO y HERMANA, MADRE y PADRE es grande, yo le debo a cambio. Si tiene un problema similar, envíele un correo electrónico a drrealakhigbe@gmail.com o puede cuál es la aplicación de su número de teléfono +2348025012866. También puede curar estas enfermedades como VIH y SIDA HERPES, DIABÉTICOS, CÁNCER, HEPATITIS B, ENFERMEDADES CRÓNICAS, ASMA , ENFERMEDADES CARDÍACAS, INFECCIÓN EXTERNA, EPILEPSIA, ACV, INSOMNIA, ESCLEROSIS MÚLTIPLE, GOUT, NÁUSEAS, VÓMITOS O DIARREA, ANTIVIRUS, CIRROSIS HEPÁTICA, ENFERMEDADES ESTOMATICAS, ENFERMEDADES DE KAWASAKI, EMPALME, BUSINOSIS. VIGOUR.ETC. Por favor envíe un correo electrónico a drrealakhigbe@gmail.com o cuál es la APLICACIÓN de él .. + 2348025012866. Es un hombre realmente bueno y honesto.
ResponderEliminarsitio web ... https: drrealakhigbe.weebly.com