Figura 28. trombopoyesis
Fuente: (Función y formación de plaquetas, s.f)
Las plaquetas, también llamadas trombocitos, son fragmentos citoplasmáticos provenientes de una célula conocida como megacariocito. Se considera que las células de la médula ósea generan Meg-CSF (Factor estimulante de colonias megacariocíticas) en respuesta a la masa megacariocítica. Con la reducción del número de megacariocitos, la cantidad de Meg-CSF aumenta. La trombopoyetina se genera sobre todo en el riñón, y en menor medida en el hígado y el bazo, en respuesta a la demanda de plaquetas (Rodak, 2007).
La producción de plaquetas presenta una característica que es única de las otras células hematopoyéticas. Los megacariocitos no presentan división celular completa, sino un proceso denominado endomitosis o endorreduplicación, en la que falta una telofase normal (Rodak, 2007).
Secuencia de maduración de las plaquetas
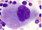
Megacarioblasto
Figura 29. Megacarioblasto. Muestra: Médula ósea (MO)
Tinción: Wright. Aumento: 100x
Tinción: Wright. Aumento: 100x
Fuente: (Hematología, s.f).
Núcleo: Poseen un solo núcleo con dos o seis nucléolos (Rodak, 2007).
Citoplasma: Es escaso y azul no contiene gránulos (Rodak, 2007).
División: Pueden sufrir división nuclear y aumentar el volumen del citoplasma y alcanzar un diámetro de 50 µm (Rodak, 2007).
Maduración: Se convierte en promegacariocito (Rodak, 2007)
Promegacariocito
Figura 30. Promegacariocito Muestra: MO
Tinción: Wright. Aumento: 100x
Tinción: Wright. Aumento: 100x
Fuente: (Hematología, s.f).
Crece y alcanza un diámetro de 80 µm.
Citoplasma: Contiene tres tipos de gránulos formados en el aparato de Golgi, denominados denso, alfa y lisosómico.
Maduración: Se convierte en Megacariocito
Megacariocito
Figura 31. Megacariocito Muestra: MO
Tinción: Wright. Aumento: 100x
Tinción: Wright. Aumento: 100x
Fuente: (Hematología, s.f)
Citoplasma: Líneas citoplasmáticas de demarcación comienzan a hacerse notorias y delínean fragmentos citoplasmáticos individuales que luego liberan como plaquetas. Cada área demarcada contiene una membrana, un citoesqueleto, un sistema de microtúbulos, canales y una porción de gránulos citoplasmáticos (Rodak, 2007).
Maduración: En la etapa final libera segmentos citoplasmáticos a través de fenestraciones sinusoides medurales en proceso denominado brote o desprendimiento de plaquetas (Rodak, 2007).
Figura 32. Plaquetas Muestra: Sangre periférica
Tinción: Wright. Aumento: 100x
Tinción: Wright. Aumento: 100x
Fuente: (Interpretación de los exámenes de laboratorio clínico, abril; 2014).
Citoplasma: Fragmentos citoplasmáticos (citoplasma en su totalidad).
Función: Hemostasia.
Referencias:
Función y formación de plaquetas. (s.f). EN Sabelotodo.org Recuperado de: http://www.sabelotodo.org/fisiologia/plaquetas.html
Hematología. (s.f). EN SlidePlayer. Recuperado de: http://slideplayer.com.br/slide/325677/
Interpretación de los exámenes de laboratorio clínico. (s.f). EN Medicina preventiva Santa Fe. Recuperado de: http://www.medicinapreventiva.com.ve/laboratorio/plaquetas.htm
Interpretación de los exámenes de laboratorio clínico. (s.f). EN Medicina preventiva Santa Fe. Recuperado de: http://www.medicinapreventiva.com.ve/laboratorio/plaquetas.htm
Rodak, B. (2007). Hematología: fundamentos y aplicaciones clínicas. (2da. E). Recuperado de: http://books.google.com.gt





No hay comentarios:
Publicar un comentario