viernes, 24 de octubre de 2014

ANORMALIDADES LEUCOCITARIAS.

Al estudiar las variaciones de los leucocitos, debemos tener en cuenta (1) los cambios que se presentan en su número, (2) el tipo que está afectando su aumento o su disminución y  (3) las características morfológicas particulares de cada una de estas células (Manascero, 2003).

En primer lugar, las variaciones en número hacen referencia a si el recuento total leucocitario está disminuido o aumentado (leucopenia y leucocitosis, respectivamente). En segundo lugar, con el tipo de leucocito se identifica la clase de respuesta y su gravedad, si afecta células de reserva marginal u otras. Por último, tenemos las características morfológicas típicas y las variaciones que presentan y que pueden ser hereditarias y permanentes o adquiridas y transitorias (Manascero, 2003).

Referencias bibliográficas:
Manascero, A. (2003). Hematología herramienta para el diagnóstico: atlas de morfología celular, alteraciones y enfermedades relacionadas. Recuperado de: http://books.google.com.gt/books?id=apSP3g_oXNoC&pg=PA53&dq=anisocitosis&hl=es&sa=X&ei=gtxBVIugAa_O8QGhtYHADg&ved=0CB8Q6AEwAQ#v=onepage&q&f=false


ANORMALIDADES ERITROCITARIAS. Anormalidades de inclusión. Inclusiones parasitárias.

INCLUSIONES PARASITÁRIAS

Figura 68. Algunas inclusiones parasitarias. Muestra: Sangre periférica (SP)
Tinción: Wright. Aumento: 100x
Fuente: (Fundamentos biológicos de parasitológia humana, s.f)

Son, por ejemplo, las que se encuentran en los hematíes parasitados por distintas formas evolutivas del Plasmodium. Así pues, si el hematíe está parasitado por un trofozoito inicial, la imagen percibida dentro del hematíe tiene forma anular (anillo palúdico). En la babesiosis también se pueden observar imágenes, con aspecto de anillo, en el interior de los hematíes. Sin embargo, en algunas especies de babesia, los trofozoitos generan imágenes de forma de pera en el interior de los eritrocitos (Rubio, García & Carrasco, 2004)

Referencias bibliográficas
Fundamentos biológicos de parasitológia humana. (s.f). Recuperado de: http://www.icb.usp.br/~livropar/img/capitulo2/29.html

Rubio, F., García, B. & Carrasco, M. (2004). Fundamentos y técnicas de análisis hematológicos y citológicos. Recuperado de: http://books.google.com.gt/books?id=FYvcth8U_YAC&pg=PA122&dq=anillo+de+cabot&hl=es&sa=X&ei=2xRLVLm4NdLKgwT39YCgCw&ved=0CEkQuwUwBw#v=onepage&q&f=false

ANORMALIDADES ERITROCITARIAS. Anormalidades de inclusión. Cuerpos de heinz.

CUERPOS DE HEINZ


Figura 67. Cuerpos de Heinz Muestra: Sangre periférica (SP)
Tinción: Wright. Aumento: 100x
Fuente: (Atlas de hematología, s.f)

Son precipitados de hemoglobina. Consisten en una serie de pequeñas granulaciones que se sitúan en la periferia de los hematíes que se tiñen de color purpura con una solución de cristal violeta (Rubio, García & Carrasco, 2004). Están formados por globina desnaturalizada que se produce cuando se destruye la hemoglobina. 

Referencias bibliográficas
Atlas de hematología (s.f). Cuerpos de Heinz. [Web blogspot]. Recuperado de: http://www.iqb.es/hematologia/atlas/variantes_eritrocitos/cuerpos_heinz.htm

Rubio, F., García, B. & Carrasco, M. (2004). Fundamentos y técnicas de análisis hematológicos y citológicos. Recuperado de: http://books.google.com.gt/books?id=FYvcth8U_YAC&pg=PA122&dq=anillo+de+cabot&hl=es&sa=X&ei=2xRLVLm4NdLKgwT39YCgCw&ved=0CEkQuwUwBw#v=onepage&q&f=false

ANORMALIDADES ERITROCITARIAS. Anormalidades de inclusión. Cuerpos de pappenheimer.

CUERPOS DE PAPPENHEIMER


Figura 66. Cuerpos de pappenheimer Muestra: Sangre periférica (SP)
Tinción: Wright. Aumento: 100x
Fuente: (Cuerpos de pappenheimer vs Howell-Jolly diferenciación, s.f)

Los cuerpos de pappenheimer son pequeñas inclusiones eritrocitarias basófilas (casi negras) dispuestas periféricamente. Habitualmente, sólo hay una pequeña cantidad en el interior de la célula. Están formados por hemosiderina y su presencia se relaciona con hipoesplenismo (Lewis, Bain & Bates, 2008)

Referencias bibliográficas
Cuerpos de pappenheimer vs Howell-Jolly. (s.f). EN Medical-labs. Recuperado de: http://www.medical-labs.net/pappenheimer-bodies-vs-howell-jolly-bodies-differentiation-245/

Lewis, S., Bain, B. & Bates, I. (2008). Dacie y Lewis, hematología práctica. (10ma. E). Recuperado de: http://books.google.com.gt/books?id=6ka6vwRbogEC&pg=PA85&dq=cuerpo+de+howell+jolly&hl=es&sa=X&ei=2_1KVMmbHYvCggTikYLQCg&ved=0CCMQuwUwAQ#v=onepage&q=cuerpo%20de%20howell%20jolly&f=false

ANORMALIDADES ERITROCITARIAS. Anormalidades de inclusión. Anillos de cabot.

ANILLOS DE CABOT


 Figura 65. Anillo de cabot Muestra: Sangre periférica (SP)
Tinción: Wright. Aumento: 100x
Fuente: (Club de informática médica y telemedicina; 2009, mayo)

Están formados por restos de la membrana nuclear o de microtúbulos. Consisten en una especie de hilos basófilos, con las tinciones habituales, que adoptan una forma de anillo o de ocho y que pueden ocupar toda la periferia celular (Rubio, García & Carrasco, 2004).

Referencia bibliográfica
Club de Informática Médica y Telemedicina (Universidad de Panamá). (2009, mayo). EN Telmeds.org. Cuerpos de Howell-Jolly. [publicada en línea]. Disponible en: http://www.telmeds.org/atlas/hematologia/serie-roja/anomalias-de-contenido/cuepos-de-howell-jolly//

Rubio, F., García, B. & Carrasco, M. (2004). Fundamentos y técnicas de análisis hematológicos y citológicos. Recuperado de: http://books.google.com.gt/books?id=FYvcth8U_YAC&pg=PA122&dq=anillo+de+cabot&hl=es&sa=X&ei=2xRLVLm4NdLKgwT39YCgCw&ved=0CEkQuwUwBw#v=onepage&q&f=false

ANORMALIDADES ERITROCITARIAS. Anormalidades de inclusión. Punteado basófilo.

PUNTEADO BASÓFILO


 Figura 63. Punteado basófilo Muestra: Sangre periférica (SP)
Tinción: Wright. Aumento: 100x
Fuente: (Biometría hemática, s.f)

Figura 64. Punteado basófilo Muestra: Sangre periférica (SP)
Tinción: Wright. Aumento: 100x
Fuente (Setién, Sánchez & Zamakola, s.f)

El punteado basófilo corresponde a una acumulación de gránulos distribuidos uniformemente en el citoplasma de los eritrocitos, está compuesto de agregados ribosómicos que se tiñen con el azul de metileno de los colorantes de Romanowski  y muestra una variación de tamaño y de número (Manascero, 2003).

Referencias bibliográficas:
Biometría hemática: Alteraciones de los hematíes. (s.f). [Web blogspot]. Recuperado de: http://equipo3bh.blogspot.com/2011/04/alteracioines-de-los-hematies.html

Manascero, A. (2003). Hematología herramienta para el diagnóstico: atlas de morfología celular, alteraciones y enfermedades relacionadas. Recuperado de: http://books.google.com.gt/books?id=apSP3g_oXNoC&pg=PA53&dq=anisocitosis&hl=es&sa=X&ei=gtxBVIugAa_O8QGhtYHADg&ved=0CB8Q6AEwAQ#v=onepage&q&f=false

Setién, R., Sánchez, M. & Zamakola, B. (s.f). Fisiología y metabolismo eritrocitario II: Hemoglobina, índices hemáticos, parámetros férricos y alteraciones de los hematíes. [Web San José de Calasanz]. Recuperado de: http://raulcalasanz.wordpress.com/2011/12/11/ud3-fisiologia-y-metabolismo-eritrocitario-ii-hemoglobina-indices-parametros-ferricos-y-alteraciones-de-los-hematies/

ANORMALIDADES ERITROCITARIAS. Anormalidades de cuerpos de inclusión. Cuepos de Howell-Jolly.

CUERPOS DE HOWELL-JOLLY
 Figura 61. Cuerpos de Howell-Jolly Muestra: Sangre periférica (SP)
Tinción: Wright. Aumento: 100x
Fuente: (Setién, Sánchez & Zamakola, s.f)

Figura 62. Cuerpos de Howell-Jolly Muestra: Sangre periférica (SP)
Tinción: Wright. Aumento: 100x
Fuente: (Club de informática médica y telemedicina; 2009, mayo)

Son vestigios nucleares y pueden observarse (habitualmente aislados) en un pequeño porcentaje de hematíes en la anemia perniciosa (Lewis, Bain & Bates, 2008).


Referencias bibliográficas
Club de Informática Médica y Telemedicina (Universidad de Panamá). (2009, mayo). EN Telmeds.org. Cuerpos de Howell-Jolly. [publicada en línea]. Disponible en: http://www.telmeds.org/atlas/hematologia/serie-roja/anomalias-de-contenido/cuepos-de-howell-jolly//

Lewis, S., Bain, B. & Bates, I. (2008). Dacie y Lewis, hematología práctica. (10ma. E). Recuperado de: http://books.google.com.gt/books?id=6ka6vwRbogEC&pg=PA85&dq=cuerpo+de+howell+jolly&hl=es&sa=X&ei=2_1KVMmbHYvCggTikYLQCg&ved=0CCMQuwUwAQ#v=onepage&q=cuerpo%20de%20howell%20jolly&f=false

Setién, R., Sánchez, M. & Zamakola, B. (s.f). Fisiología y metabolismo eritrocitario II: Hemoglobina, índices hemáticos, parámetros férricos y alteraciones de los hematíes. [Web San José de Calasanz]. Recuperado de: http://raulcalasanz.wordpress.com/2011/12/11/ud3-fisiologia-y-metabolismo-eritrocitario-ii-hemoglobina-indices-parametros-ferricos-y-alteraciones-de-los-hematies/

ANORMALIDADES ERITROCITARIAS. Anormalidades de ordenamiento. Aglutinación.

AGLUTINACIÓN
Figura 59. Aglutinación Muestra: Sangre periférica (SP)
Tinción: Wright. Aumento: 100x
Fuente: (Macaluso; 2010, junio 4)

Figura 60. Aglutinación Muestra: Sangre periférica (SP)
Tinción: Wright. Aumento: 100x
Fuente: (Anemia megaloblástica, s.f)

Conglomerados de eritrocitos por reacción antígeno-anticuerpo. Estos conglomerados se originan por la presencia de anticuerpos antieritrocíticos que se fijan a la superficie del glóbulo rojo y la destruyen (Ochoa & Bauda, 2007).

Referencias bibliográficas
Anemia megaloblástica. (s.f). EN Facultad de medicina. Recuperado de: http://www.basesmedicina.cl/hematologia/15_3_anemia_mega/contenidos.htm

Macaluso, J. (2010, junio 4). Medicina interna. [Web blogspot]. Recuperado de: http://www.elrincondelamedicinainterna.com/2010_06_04_archive.html

Ochoa, L. & Bauda, J. (2007). Patología clínica veterinaria. Recuperado de: http://books.google.com.gt/books?id=CkBbyoBNnWcC&pg=PA53&dq=aglutinaci%C3%B3n+de+eritrocitos+en+frotis+sanguineos&hl=es-419&sa=X&ei=7PNKVKH8PMKQNu-DgOgK&ved=0CB0QuwUwAA#v=onepage&q=aglutinaci%C3%B3n%20de%20eritrocitos%20en%20frotis%20sanguineos&f=false

ANORMALIDADES ERITROCITARIAS. Anormalidades de ordenamiento. Rouleaux.

ROULEAUX


Figura 58. Rouleaux Muestra: Sangre periférica (SP)
Tinción: Wright. Aumento: 100x
Fuente: (Dione; 2006, julio 6)

El fenómeno de rouleaux hace que los eritrocitos se apilen juntos (como pilas de monedas) dando la apariencia de aglutinación, cuando no existe una aglutinación verdadera. Esto ocurre cuando el paciente tiene una anormalidad de proteínas, ejemplo mielomatosis, o cuando dextran, PVP, o productos similares han sido administrados por vía intravenosa (Cheesbrough, 2004).

Referencias bibliográficas
Cheesbrough, M. (2004). District Laboratory practice in tropical countries. (2nd. E). Recuperado de: http://books.google.com.gt/books?id=Yjv-n5u6S7gC&pg=PA368&dq=rouleaux&hl=es&sa=X&ei=e-hKVKCBI4rHgwS_pIGYDQ&ved=0CFUQuwUwBg#v=onepage&q&f=false

Dione, S. (2006, julio 6). EN Flickr. Recuperado de: https://www.flickr.com/photos/hematologia/3805762464/in/photostream/

ALTERACIONES ERITROCITICAS. Anormalidades en la afinidad cromatica. Anisocromía.

ANISOCROMÍA

Figura 57. Anisocromía Muestra: Sangre periférica (SP)
Tinción: Wright. Aumento: 100x
Fuente: (Blog de hematología, 2013, abril 25)

Podemos observar dos poblaciones de hematíes con diferente contenido hemático, y diferente nivel de tinción (Silva, García, Caballero, Fernández & Silva; 2006).

Referencias bibliográficas:
Blog de hematología. (2013; abril 25). Alteraciones en los glóbulos rojos. [Web blogspot]. Recuperado de: http://misangre4b.blogspot.com/2013/04/alteraciones-en-los-globulos-rojos.html

Silva, M., García, M., Caballero, A., Fernández, N. & Silva, L. (2006). Técnico especialista en laboratorio de atención primaria. Recuperado de: http://books.google.com.gt/books?id=vb1TFQDVriAC&pg=PA375&dq=anisocromia&hl=es&sa=X&ei=uN1KVM2CM8aRNtO0gOgO&ved=0CDQQuwUwBA#v=onepage&q=anisocromia&f=false

ANORMALIDADES ERITROCITARIAS. Anormalidades en la afinidad cromática del eritrocito. Policromatofília

POLICROMATOFÍLIA


Figura 55. Policromatofília Muestra: Sangre periférica (SP)
Tinción: Wright. Aumento: 100x
Fuente: (Biometría hemática, s.f)

Figura 56. Policromatofília Muestra: Sangre periférica (SP)
Tinción: Wright. Aumento: 100x
Fuente: (Blog de hematología, 2013, abril 25)

 Los eritrocitos policromáticos son aquellos que aún no han terminado su proceso de maduración y que contienen restos de ARN, lo cual les confiere la tonalidad azul grisácea con las coloraciones de Romanowsky (Manascero, 2003).

Referencias bibliográficas:
Biometría hemática: Alteraciones de los hematíes. (s.f). [Web blogspot]. Recuperado de: http://equipo3bh.blogspot.com/2011/04/alteracioines-de-los-hematies.html

Blog de hematología. (2013; abril 25). Alteraciones en los glóbulos rojos. [Web blogspot]. Recuperado de: http://misangre4b.blogspot.com/2013/04/alteraciones-en-los-globulos-rojos.html

Manascero, A. (2003). Hematología, herramienta para el diagnóstico: Atlas de morfología celular, alteraciones y enfermedades relacionadas. Recuperado de: http://books.google.com.gt/books?id=apSP3g_oXNoC&pg=PA53&dq=anisocitosis&hl=es&sa=X&ei=gtxBVIugAa_O8QGhtYHADg&ved=0CB8Q6AEwAQ#v=onepage&q&f=false

ANORMALIDADES ERITROCITARIAS. Anormalidades en la afinidad cromática del eritrocito. Hipercromía.

HIPERCROMÍA


 Figura 53. Hipercromía Muestra: Sangre periférica (SP)
Tinción: Wright. Aumento: 100x
Fuente: (La sangre, octubre 22; 2011)


Figura 54. Hipercromía Muestra: Sangre periférica (SP)
Tinción: Wright. Aumento: 100x
Fuente: (Blog de hematología, 2013; abril 25)

La hipercromía, esto es, la mayor posesión de hemoglobina por el eritrocito. La tinción extraordinariamente intensa de lo hematíes con falta de la palidez cental se puede observar en dos circunstancias: a) en presencia de macrocitos, y b) cuando existen células anormalmente redondeadas (Lewis, Bain & Bates, 2008).  

Referencias bibliográficas
Blog de hematología. (2013; abril 25). Alteraciones en los glóbulos rojos. [Web blogspot].Recuperado de: http://misangre4b.blogspot.com/2013/04/alteraciones-en-los-globulos-rojos.html

La sangre: alteraciones en los eritrocitos. (2011, octubre 22). [Web blogspot]. Recuperado de: http://mariavval.blogspot.com/2011/10/alteraciones-en-los-eritrocitos.htm

Lewis, S., Bain, B. & Bates, I. (2008). Dacie y Lewis hematología práctica. (10 E.). Recuperado de: http://books.google.com.gt/books?id=6ka6vwRbogEC&pg=PA75&dq=e+macrocitos,+y+b)+cuando+existen+c%C3%A9lulas+anormalmente+redondeadas&hl=es&sa=X&ei=rtZKVNyVGtPKggSpo4GQBg&ved=0CBwQ6AEwAA#v=onepage&q=e%20macrocitos%2C%20y%20b)%20cuando%20existen%20c%C3%A9lulas%20anormalmente%20redondeadas&f=false

ANORMALIDADES ERITROCITARIAS. Anormalidades en la afinidad cromática del eritrocito. Hipocromía.

HIPOCROMÍA


Figura 52. Hipocromía Muestra: Sangre periférica (SP)
Tinción: Wright. Aumento: 100x
Fuente: (Biometría hemática, s.f)

Los glóbulos rojos se consideran hipocrómicos cuando su contenido de hemoglobina es inferior al normal. La carencia grave o marcada, por lo general, trae como consecuencia que los glóbulos se deformen y que se produzcan formas anormales y carentes de hemoglobina, como los codocitos, los anulocitos, los leptocitos, entre otros (Manascero, 2003).

Referencias bibliográficas
Biometría hemática: Alteraciones de los hematíes. (s.f). [Web blogspot]. Recuperado de: http://equipo3bh.blogspot.com/2011/04/alteracioines-de-los-hematies.html

Manascero, A. (2003). Hematología, herramienta para el diagnóstico: Atlas de morfología celular, alteraciones y enfermedades relacionadas. Recuperado de: http://books.google.com.gt/books?id=apSP3g_oXNoC&pg=PA53&dq=anisocitosis&hl=es&sa=X&ei=gtxBVIugAa_O8QGhtYHADg&ved=0CB8Q6AEwAQ#v=onepage&q&f=false

lunes, 20 de octubre de 2014

ANORMALIDADES ERITROCITARIAS. Anormalidades en el tamaño del eritrocito. Megalocitosis.

MEGALOCITOSIS


Figura 51. Megalocitosis Muestra: Sangre periférica (SP)
Tinción: Wright. Aumento: 100x
Fuente: (La sangre; 2011, octubre 22).

Es la máxima expresión de la macrocitosis, con hematíes que presentan un diámetro (longitudinal) superior a 11 micrómetros (Silva, García, Gómez, Muñóz ... & Palacio, 2006)

Referencias bibliográficas
La sangre: alteraciones en los eritrocitos. (2011, octubre 22). [Web blogspot]. Recuperado de: http://mariavval.blogspot.com/2011/10/alteraciones-en-los-eritrocitos.html

Silva, M., García, M., Gómez, D., Muñóz, D. ... & Palacio, J. (2006). Técnico especialista en laboratorio del servicio gallego de salud. Recuperado de: http://books.google.com.gt/books?id=0BugBnaU310C&pg=SL26-PA294&dq=microcitosis&hl=es&sa=X&ei=P05FVNLAJ8uPNrCKgYAD&ved=0CBwQuwUwAA#v=onepage&q=microcitosis&f=false

ANORMALIDADES ERITROCITARIAS. Anormalidades en el tamaño del eritrocito. Macrocitosis.

MACROCITOSIS


Figura 50. Macrocitosis
Fuente: (Biometría hemática, s.f)

Presencia de eritrocitos cuyo volumen está aumentado; presentarán un tamaño superior a los 8,5 micrómetros, y un volumen superior a 100 micrómetros cúbicos (Silva, García, Gómez, Muñoz, ... & Palacio, 2006)


Referencias bibliográficas
Biometría hemática: Alteraciones de los hematíes. (s.f). [Web blogspot]. Recuperado de: http://equipo3bh.blogspot.com/2011/04/alteracioines-de-los-hematies.html

Silva, M., García, M., Gómez, D., Muñóz, D. ... & Palacio, J. (2006). Técnico especialista en laboratorio del servicio gallego de salud. Recuperado de: http://books.google.com.gt/books?id=0BugBnaU310C&pg=SL26-PA294&dq=microcitosis&hl=es&sa=X&ei=P05FVNLAJ8uPNrCKgYAD&ved=0CBwQuwUwAA#v=onepage&q=microcitosis&f=false

ANORMALIDADES ERITROCITARIAS. Anormalidades en el tamaño del eritrocito. Microcitosis.

MICROCITOSIS


Figura 49. Microcitosis. Muestra: Sangre periférica (SP)
Tinción: Wright. Aumento: 100x
Fuente: (Biometría hemática, s.f)

Los eritrocitos son de menor tamaño que el normal, presentarán un tamaño inferior al de 7 micrómetros y un volumen inferior a 80 micrómetros cúbicos (Silva, García, Gómez, Muñóz, ... & Palacio, 2006).

Referencias bibliográficas
Biometría hemática: Alteraciones de los hematíes. (s.f). [Web blogspot]. Recuperado de: http://equipo3bh.blogspot.com/2011/04/alteracioines-de-los-hematies.html

Silva, M., García, M., Gómez, D., Muñóz, D. ... & Palacio, J. (2006). Técnico especialista en laboratorio del servicio gallego de salud. Recuperado de: http://books.google.com.gt/books?id=0BugBnaU310C&pg=SL26-PA294&dq=microcitosis&hl=es&sa=X&ei=P05FVNLAJ8uPNrCKgYAD&ved=0CBwQuwUwAA#v=onepage&q=microcitosis&f=false

ANORMALIDADES ERITROCITARIAS. Anormalidades en el tamaño del eritrocito. Anisocitosis

ANISOCITOSIS


Figura 47. Anisocitosis Muestra: Sangre periférica (SP)
Tinción: Wright. Aumento: 100x
Fuente: (C y T.; 2009, mayo).

Figura 48. Anisocitosis Muestra: Sangre periférica (SP)
Tinción: Wright. Aumento: 100x
Fuente: (C y T.; 2009, mayo).

El término anisocitosis implica la presencia de células de diferente tamaño en el FSP (Frotis de sangre periférica) donde podemos encontrar células tanto micro como macrocíticas (Manascero, 2003).

La anisocitosis es la variación del tamaño normal de los eritrocitos. Se manifiesta en una biometría hemática completa (BHC) con un valor aumentado del coeficiente de variación de la distribución del volumen eritrocitario (RDW-CV mayor de 14.5%). (Club de informática médica y telemedicina [CyT], mayo; 2009)

Referencias Bibliográficas: 
Club de Informática Médica y Telemedicina (Universidad de Panamá). (2009, mayo). EN Telmeds.org [publicada en línea]. Anisocitosis. Disponible en: http://www.telmeds.org/atlas/hematologia/serie-roja/anomalias-de-tamano-anisocitosis/anisocitosis/

Manascero, A. (2003). Hematología, herramienta para el diagnóstico: Atlas de morfología celular, alteraciones y enfermedades relacionadas. Recuperado de: http://books.google.com.gt/books?id=apSP3g_oXNoC&pg=PA53&dq=anisocitosis&hl=es&sa=X&ei=gtxBVIugAa_O8QGhtYHADg&ved=0CB8Q6AEwAQ#v=onepage&q&f=false

ANORMALIDADES ERITROCITARIAS. Anormalidades en la forma del eritrocito. Esquistocito.

ESQUISTOCITOS


Figura 46. Esquistocito Muestra: Sangre periférica (SP)
Tinción: Wright. Aumento: 100x
Fuente: (Dione, julio 6; 2006)

Conocidos como hemelt cell, células en casco o fragmentos celulares, los esquistocitos son fragmentos de eritrocitos producidos en la luz de los vasos sanguíneos y se asocian a daño de las células provocado por causasa mecánicas (Manascero, 2003). 

Referencias bibliográficas
Dione, S. (julio 6, 2006). EN Flickr. Recuperado de: https://www.flickr.com/photos/hematologia/3805762464/in/photostream/

Manascero, A. (2003). Hematología, herramienta para el diagnóstico: Atlas de morfología celular, alteraciones y enfermedades relacionadas. Recuperado de: http://books.google.com.gt/books?id=apSP3g_oXNoC&pg=PA53&dq=anisocitosis&hl=es&sa=X&ei=gtxBVIugAa_O8QGhtYHADg&ved=0CB8Q6AEwAQ#v=onepage&q&f=false

ANORMALIDADES ERITROCITARIAS. Anormalidades en la forma del eritrocito. Equinocitos.

EQUINOCITOS


Figura 45. Equinocitos Muestra: Sangre periférica (SP)
Tinción: Wright. Aumento: 100x
Fuente: (Setién, Sánchez & Zamakola, s.f)

También conocidos como célula fresa, célula crenada, los equinocitos suelen ser de menor tamaño y volumen que los eritrocitos normales, con proyecciones regulares redondeadas no espinosas que se forman sobre la superficie total de la célula (Manascero, 2003).

Referencias bibliográficas
Dione, S. (julio 6, 2006). EN Flickr. Recuperado de: https://www.flickr.com/photos/hematologia/3805762464/in/photostream/

Manascero, A. (2003). Hematología, herramienta para el diagnóstico: Atlas de morfología celular, alteraciones y enfermedades relacionadas. Recuperado de: http://books.google.com.gt/books?id=apSP3g_oXNoC&pg=PA53&dq=anisocitosis&hl=es&sa=X&ei=gtxBVIugAa_O8QGhtYHADg&ved=0CB8Q6AEwAQ#v=onepage&q&f=false

Setién, R., Sánchez, M. & Zamakola, B. (s.f). Fisiología y metabolismo eritrocitario II: Hemoglobina, índices hemáticos, parámetros férricos y alteraciones de los hematíes. [Web San José de Calasanz]. Recuperado de: http://raulcalasanz.wordpress.com/2011/12/11/ud3-fisiologia-y-metabolismo-eritrocitario-ii-hemoglobina-indices-parametros-ferricos-y-alteraciones-de-los-hematies/

ANORMALIDADES ERITROCITARIAS. Anormalidades en la forma del eritrocito. Estomatocito.

ESTOMATOCITO


 Figura 43. Estomatocito Muestra: Sangre periférica (SP)
Tinción: Wright. Aumento: 100x
Fuente: (Dione; 2006, julio 6)


Figura 44. Estomatocito Muestra: Sangre periférica (SP)
Tinción: Wright. Aumento: 100x
Fuente: (Setién, Sánchez y Zamakola, s.f)


Los estomatocitos son células semicóncavas, un lado cóncavo y otro convexo, que en preparaciones frescas se puede observar en forma de "taza" y en el FSP (frotis de sangre periférica) en forma de "estoma" o "boca". Se puede asociar a estomatocitosis hereditaria, y aún cuando en este caso no se sabe con certeza en qué consiste el defecto, se ha pensado en una anormalidad en los lípidos de la membrana o en sus proteínas, pero todavía no es claro. Lo que sí se ha definidio es cómo, a consecuencia del defecto, se produce una permeabilidad anormal para Na+ y K+, es decir, entra una mayor cantidad Na+ el K+ que sale, y como resultado aumenta la concentración intracelular de cationes y agua, mientras que la célula sobrehidratada presenta la forma de estomatocito (Manascero, 2003). 


Referencias bibliográficas
Dione, S. (2006, julio 6). EN Flickr. Recuperado de: https://www.flickr.com/photos/hematologia/3805762464/in/photostream/

Manascero, A. (2003). Hematología, herramienta para el diagnóstico: Atlas de morfología celular, alteraciones y enfermedades relacionadas. Recuperado de: http://books.google.com.gt/books?id=apSP3g_oXNoC&pg=PA53&dq=anisocitosis&hl=es&sa=X&ei=gtxBVIugAa_O8QGhtYHADg&ved=0CB8Q6AEwAQ#v=onepage&q&f=false

Setién, R., Sánchez, M. & Zamakola, B. (s.f). Fisiología y metabolismo eritrocitario II: Hemoglobina, índices hemáticos, parámetros férricos y alteraciones de los hematíes. [Web San José de Calasanz]. Recuperado de: http://raulcalasanz.wordpress.com/2011/12/11/ud3-fisiologia-y-metabolismo-eritrocitario-ii-hemoglobina-indices-parametros-ferricos-y-alteraciones-de-los-hematies/

domingo, 19 de octubre de 2014

ANORMALIDADES ERITROCITARIAS. Anormalidades en la forma del eritrocito. Esferocito.

ESFEROCITO


Figura 42. Esferocito Muestra: Sangre periférica (SP)
Tinción: Wright. Aumento: 100x
Fuente: (Dione, julio 6; 2006)

Los esferocitos son eritrocitos que han perdido su biconcavidad, lo cual provoca una disminución en la relación superficie-volumen; tienen disminuida la vida media y su fragilidad osmótica está aumentada. En frotis de sangre teñidos, los esferocitos se presentan como esferas teñidas densamente, que carecen de un área central de palidez (Manascero, 2003).

Referencias bibliográficas
Dione, S. (julio 6, 2006). EN Flickr. Recuperado de: https://www.flickr.com/photos/hematologia/3805762464/in/photostream/

Manascero, A. (2003). Hematología, herramienta para el diagnóstico: Atlas de morfología celular, alteraciones y enfermedades relacionadas. Recuperado de: http://books.google.com.gt/books?id=apSP3g_oXNoC&pg=PA53&dq=anisocitosis&hl=es&sa=X&ei=gtxBVIugAa_O8QGhtYHADg&ved=0CB8Q6AEwAQ#v=onepage&q&f=false

ANORMALIDADES ERITROCITARIAS. Anormalidades la forma del eritrocito. Eliptocito

ELIPTOCITO


Figura 40. Eliptocitos Muestra: Sangre periférica (SP)
Tinción: Wright. Aumento: 100x
Fuente: (Dione, julio 6; 2006)

Figura 41. Eliptocitos Muestra: Sangre periférica (SP)
Tinción: Wright. Aumento: 100x
Fuente: (Setién, Sánchez y Zamakola, s.f)

Los eliptocitos son eritrocitos de forma elíptica y el defecto puede ser heredado o adquirido. Son conocidos como células en lápiz y ovalocitos. La fragilidad osmótica está aumentada. La formación en pilas de moneda es normal (Manascero, 2003).

El defecto morfológico se manifiesta después de que madura el eritrocito y abandona la médula ósea, ya que los reticulocitos en los pacientes con eliptocitosis tienen forma normal (Manascero, 2003).

Referencias bibliográficas
Dione, S. (julio 6, 2006). EN Flickr. Recuperado de: https://www.flickr.com/photos/hematologia/3805762464/in/photostream/

Manascero, A. (2003). Hematología, herramienta para el diagnóstico: Atlas de morfología celular, alteraciones y enfermedades relacionadas. Recuperado de: http://books.google.com.gt/books?id=apSP3g_oXNoC&pg=PA53&dq=anisocitosis&hl=es&sa=X&ei=gtxBVIugAa_O8QGhtYHADg&ved=0CB8Q6AEwAQ#v=onepage&q&f=false

Setién, R., Sánchez, M. & Zamakola, B. (s.f). Fisiología y metabolismo eritrocitario II: Hemoglobina, índices hemáticos, parámetros férricos y alteraciones de los hematíes. [Web San José de Calasanz]. Recuperado de: http://raulcalasanz.wordpress.com/2011/12/11/ud3-fisiologia-y-metabolismo-eritrocitario-ii-hemoglobina-indices-parametros-ferricos-y-alteraciones-de-los-hematies/

ANORMALIDADES ERITROCITARIAS. Anormalidades la forma del eritrocito. Drepanocito

DREPANOCITO


Figura 38. Drepanocito Muestra: Sangre periférica (SP)
Tinción: Wright. Aumento: 100x
Fuente: (Dione, julio 6; 2006)

Figura 39. Drepanocito Muestra: Sangre periférica (SP)
Tinción: Wright. Aumento: 100x
Fuente: (Setién, Sánchez  & Zamakola, s.f)

Conocidos también como sickle cell, "en media luna", "en hoz", los drepanocitos son células delgadas con elongaciones fusiformes, extremos puntiagudos y curvadas en forma de hoz. Están directamente asociados con la presencia de hemoglobina S (HbS), en la enfermedad hereditaria denominada anemia drepanocítica (Manascero, 2003).

La hemoglobina es anormal y se produce una polimerización en bastoncillos cuando hay una tensión disminuida de oxígeno o reducción de pH. La célula se transforma en una forma de hoja de acero, luego, al continuar la polimerización de la hemoglobina, se transforma en una célula en forma de hoz. La fragilidad osmótica de la célula falciforme está disminuida, pero su fragilidad mecánica se encuentra aumentada (Manascero, 2003).

Referencias bibliográficas
Dione, S. (julio 6, 2006). EN Flickr. Recuperado de: https://www.flickr.com/photos/hematologia/3805762464/in/photostream/

Manascero, A. (2003). Hematología, herramienta para el diagnóstico: Atlas de morfología celular, alteraciones y enfermedades relacionadas. Recuperado de: http://books.google.com.gt/books?id=apSP3g_oXNoC&pg=PA53&dq=anisocitosis&hl=es&sa=X&ei=gtxBVIugAa_O8QGhtYHADg&ved=0CB8Q6AEwAQ#v=onepage&q&f=false

Setién, R., Sánchez, M. & Zamakola, B. (s.f). Fisiología y metabolismo eritrocitario II: Hemoglobina, índices hemáticos, parámetros férricos y alteraciones de los hematíes. [Web San José de Calasanz]. Recuperado de: http://raulcalasanz.wordpress.com/2011/12/11/ud3-fisiologia-y-metabolismo-eritrocitario-ii-hemoglobina-indices-parametros-ferricos-y-alteraciones-de-los-hematies/

ANORMALIDADES ERITROCITARIAS. Anormalidades en la forma del eritrocito. Dacriocito

DACRIOCITOS



Figura 37. Dacriocito Muestra: Sangre periférica (SP)
Tinción: Wright. Aumento: 100x
Fuente: (Dione, julio 6; 2006)

Llamadas células en lágrima, en raqueta, células de cola o periforme, los dacriocitos son eritrocitos alargados en un extremo que forman una célula con aspecto de gota de lágrima o de pera. Son formas adquiridas: algunas células se forman después que los eritrocitos con inclusiones celulares atraviesan el bazo y no logran retornar a su forma original, debido a que la célula ha sido estirada más allá de los límites de deformabilidad de la membrana o permanecido con la forma anormal durante un tiempo excesivo (Manascero, 2003).

Referencias bibliográficas
Dione, S. (julio 6, 2006). EN Flickr. Recuperado de: https://www.flickr.com/photos/hematologia/3805762464/in/photostream/

Manascero, A. (2003). Hematología, herramienta para el diagnóstico: Atlas de morfología celular, alteraciones y enfermedades relacionadas. Recuperado de: http://books.google.com.gt/books?id=apSP3g_oXNoC&pg=PA53&dq=anisocitosis&hl=es&sa=X&ei=gtxBVIugAa_O8QGhtYHADg&ved=0CB8Q6AEwAQ#v=onepage&q&f=false

ANORMALIDADES ERITROCITARIAS. Anormalidades en la forma del eritrocito. Codocito

CODOCITOS


Figura 35. Codocitos Muestra: Sangre periférica (SP)
Tinción: Wright. Aumento: 100x
Fuente: (Setién, Sánchez & Zamakola, s.f)

Figura 36. Codocitos Muestra: Sangre periférica (SP)
Tinción: Wright. Aumento: 100x
Fuente: (Dione, julio 6; 2006)

Conocidos tambien como target cells, células en diana o células blanco, dianocitos, sombrero mexicano, células en campana, los codocitos son células hipocrómicas con una distribución en diana de la hemoglobina, la cual está rodeada por una zona acrómica y una anillo exterior delgado de hemoglobina. Tiene disminuida la fragilidad osmótica, debido a un aumento en la relación superficie-volumen (Manascero, 2003).

Referencias bibliográficas
Dione, S. (julio 6, 2006). EN Flickr. Recuperado de: https://www.flickr.com/photos/hematologia/3805762464/in/photostream/

Manascero, A. (2003). Hematología, herramienta para el diagnóstico: Atlas de morfología celular, alteraciones y enfermedades relacionadas. Recuperado de: http://books.google.com.gt/books?id=apSP3g_oXNoC&pg=PA53&dq=anisocitosis&hl=es&sa=X&ei=gtxBVIugAa_O8QGhtYHADg&ved=0CB8Q6AEwAQ#v=onepage&q&f=false

Setién, R., Sánchez, M. & Zamakola, B. (s.f). Fisiología y metabolismo eritrocitario II: Hemoglobina, índices hemáticos, parámetros férricos y alteraciones de los hematíes. [Web San José de Calasanz]. Recuperado de: http://raulcalasanz.wordpress.com/2011/12/11/ud3-fisiologia-y-metabolismo-eritrocitario-ii-hemoglobina-indices-parametros-ferricos-y-alteraciones-de-los-hematies/


ANORMALIDADES ERITROCITARIAS. Anormalidades en la forma del eritrocito. Acantocito

ACANTOCITOS


Figura 33. Acantocitos. Muestra: Sangre periférica (SP)
Tinción: Wright. Aumento: 100x
Fuente: (Setién, Sánchez & Zamakola, s.f)

Figura 34. Acantocitos Muestra: Sangre periférica (SP)
Tinción: Wright. Aumento: 100x
Fuente: (Acantocitos, s.f)

Los acantocitos o células en espuela son células esféricas pequeñas con proyecciones irregulares como púas (generalmente de extremos romos). El defecto consiste en una alteración del contenido lipídico de las membranas, pues hay un aumento en la esfingomielina que puede ser secundario a la composición anormal de lípidos del plasma. La expansión de la capa lipídica está modificada, la viscosidad de la membrana se aumenta y, por consiguiente, disminuye su fluidez hasta causar la deformabilidad (Manascero, 2003).


Referencias bibliográficas
Acantocitos. (s.f). EN Look. Recuperado de: http://www.lookfordiagnosis.com/mesh_info.php?term=Acantocitos&lang=2

Manascero, A. (2003). Hematología, herramienta para el diagnóstico: Atlas de morfología celular, alteraciones y enfermedades relacionadas. Recuperado de:  http://books.google.com.gt/books?id=apSP3g_oXNoC&pg=PA53&dq=anisocitosis&hl=es&sa=X&ei=gtxBVIugAa_O8QGhtYHADg&ved=0CB8Q6AEwAQ#v=onepage&q&f=false

Setién, R., Sánchez, M. & Zamakola, B. (s.f). Fisiología y metabolismo eritrocitario II: Hemoglobina, índices hemáticos, parámetros férricos y alteraciones de los hematíes. [Web San José de Calasanz]. Recuperado de: http://raulcalasanz.wordpress.com/2011/12/11/ud3-fisiologia-y-metabolismo-eritrocitario-ii-hemoglobina-indices-parametros-ferricos-y-alteraciones-de-los-hematies/

viernes, 17 de octubre de 2014

ANORMALIDADES ERITROCITARIAS.

Las anormalidades de los glóbulos rojos se pueden clasificar en dos grupos, dependiendo si el origen es heredado o adquirido y si éste es inherente al eritrocito o no. En primer lugar se encuentran las intrínsecas que, por lo general, se derivan de anormalidades hereditarias, y las extrínsecas o adquiridas que también, por lo general, se originan en cambios inducidos durante su formación o después y pueden suceder intramedularmente, en vasos sanguíneos o en el sistema reticulo endotelial (Manascero, 2003).

Las anormalidades intrínsecas de los eritrocitos están asociadas a cambios en la composición de la membrana, disfunción en su actividad metabólica, modificaciones en la eritropoyesis y cambios en la composición, estructura, función y producción de la hemoglobina (Manascero, 2003).

Las extrínsecas se asocian con algún tipo de desorden orgánico que, de forma indirecta, genera alteraciones en el número y en la morfología de los eritrocitos (Manascero, 2003).

Todos estos cambios en el número y en la morfología, consecuencia de lo mencionado, se detecta fácilmente en la realización de dos exámenes básicos de laboratorio: el hemograma o cuadro hemático y la apreciación de un frotis de sangre periférica (FSP) teñido con las coloraciones tradicionales de Romanowski (Manascero, 2003).

Estas anormalidades en la morfología tradicionalmente han sido clasificadas como: 
  • Poiquilocitosis: anormalidades en la forma.
  • Anisocitosis: anormalidades en el tamaño celular o volumen eritrocitario.
  • Hipocromía y policromatofilia: anormalidades en la afinidad cromática.
  • Inclusiones eritrocitarias.
  • Presencia de células inmaduras
  • Anormalidades de ordenamiento como el fénomeno de roleaux y la autoaglutinación. 
(Manascero, 2003).


Referencia Bibliográfica
Manascero, A. (2003). Hematología, herramienta para el diagnóstico: Atlas de morfología celular, alteraciones y enfermedades relacionadas. Recuperado de: http://books.google.com.gt/books?id=apSP3g_oXNoC&pg=PA53&dq=anisocitosis&hl=es&sa=X&ei=gtxBVIugAa_O8QGhtYHADg&ved=0CB8Q6AEwAQ#v=onepage&q&f=false

domingo, 5 de octubre de 2014

Morfología normal de elementos celulares sanguíneos. Trombopoyesis o Megacariopoyesis

Trombopoyesis

Figura 28. trombopoyesis
Fuente: (Función y formación de plaquetas, s.f)

Las plaquetas, también llamadas trombocitos, son fragmentos citoplasmáticos provenientes de una célula conocida como megacariocito. Se considera que las células de la médula ósea generan Meg-CSF (Factor estimulante de colonias megacariocíticas) en respuesta a la masa megacariocítica. Con la reducción del número de megacariocitos, la cantidad de Meg-CSF aumenta. La trombopoyetina se genera sobre todo en el riñón, y en menor medida en el hígado y el bazo, en respuesta a la demanda de plaquetas (Rodak, 2007).

La producción de plaquetas presenta una característica que es única de las otras células hematopoyéticas. Los megacariocitos no presentan división celular completa, sino un proceso denominado endomitosis o endorreduplicación, en la que falta una telofase normal (Rodak, 2007).

Secuencia de maduración de las plaquetas
Megacarioblasto

Figura 29. Megacarioblasto. Muestra: Médula ósea (MO)
Tinción: Wright. Aumento: 100x
Fuente: (Hematología, s.f).

Núcleo: Poseen un solo núcleo con dos o seis nucléolos (Rodak, 2007).

Citoplasma: Es escaso y azul no contiene gránulos (Rodak, 2007).

División: Pueden sufrir división nuclear y aumentar el volumen del citoplasma y alcanzar un diámetro de 50 µm  (Rodak, 2007).

Maduración: Se convierte en promegacariocito (Rodak, 2007)

Promegacariocito
Figura 30. Promegacariocito Muestra: MO
Tinción: Wright. Aumento: 100x
Fuente: (Hematología, s.f).

Crece y alcanza un diámetro de 80 µm.

Citoplasma: Contiene tres tipos de gránulos formados en el aparato de Golgi, denominados denso, alfa y lisosómico.

Maduración: Se convierte en Megacariocito

Megacariocito
Figura 31. Megacariocito Muestra: MO
Tinción: Wright. Aumento: 100x
Fuente: (Hematología, s.f)

Citoplasma: Líneas citoplasmáticas de demarcación comienzan a hacerse notorias y delínean fragmentos citoplasmáticos individuales que luego liberan como plaquetas. Cada área demarcada contiene una membrana, un citoesqueleto, un sistema de microtúbulos, canales y una porción de gránulos citoplasmáticos (Rodak, 2007).

Maduración: En la etapa final libera segmentos citoplasmáticos a través de fenestraciones sinusoides medurales en proceso denominado brote o desprendimiento de plaquetas (Rodak, 2007).

Plaquetas
Figura 32. Plaquetas Muestra: Sangre periférica
Tinción: Wright. Aumento: 100x
Fuente: (Interpretación de los exámenes de laboratorio clínico, abril; 2014).

Citoplasma: Fragmentos citoplasmáticos (citoplasma en su totalidad).

Función: Hemostasia.


Referencias:
Función y formación de plaquetas. (s.f). EN Sabelotodo.org Recuperado de: http://www.sabelotodo.org/fisiologia/plaquetas.html

Hematología. (s.f). EN SlidePlayer. Recuperado de: http://slideplayer.com.br/slide/325677/

Interpretación de los exámenes de laboratorio clínico. (s.f). EN Medicina preventiva Santa Fe. Recuperado de: http://www.medicinapreventiva.com.ve/laboratorio/plaquetas.htm

Rodak, B. (2007). Hematología: fundamentos y aplicaciones clínicas. (2da. E). Recuperado de: http://books.google.com.gt

Morfología normal de elementos celulares sanguíneos. Leucopoyesis

LEUCOPOYESIS. Formación de los agranulocitos.

Los agranulocitos son los leucocitos que carecen de gránulos, entre ellos se encuentran los monocitos y los linfocitos.

MONOCITOS
        Célula troncal a monoblasto

Figura 21. Leucocitos granulares y agranulares
Fuente: (producción y vida de los leucocitos, s.f)

La teoría actual sostiene que los monocitos y los macrófagos se dividen en: monoblastos, promonocitos, monocitos sanguíneos y macrófagos libres y fijos. Por acción de la IL-3, GM-CSF y M-CSF, el monoblasto se genera a partir de la CFU-GEMM y se encuentra en mayor medida en la médula ósea, aunque algunos lugares secundarios posibles son el bazo y otros sitios reticuloendoteliales (Rodak, 2007).

Secuencia de maduración:
Monoblasto
Figura 22. Monoblasto. Muestra: Médula ósea (MO)
Tinción: Wright. Aumento: 100x
Fuente: (Amaya, 2014; febrero)

Los monoblastos se encuentran en bajas cantidades en la médula ósea, y su única función se produce durante la mitosis (Rodak, 2007).

Núcleo: Localizado de manera excéntrica que contiene uno o dos nucléolos visibles (Rodak, 2007).

Citoplasma: No es granular y cuando se tiñe se presenta débilmente positivo para la peroxidasa (Rodak, 2007).

Diferenciación:  se diferencia a promonocito (Rodak, 2007).

Promonocito
Figura 23.Promonocito. Muestra: MO
Tinción: Wright. Aumento: 100x
Fuente: (Amaya, 2014; febrero)

Los promonocitos son similares en tamaño a los blastos, aunque contienen cierta granulación. Pueden ser móviles y participar en la fagocitosis (Rodak, 2007).

Núcleo: doblado, torcidos o con muescas (Rodak, 2007).

Citoplasma: Irregular (Rodak, 2007).

Diferenciación: Se diferencia a monocito.

Monocito
Figura 24. Monocito Muestra: Sangre periférica (sp)
Tinción: Wright. Aumento: 100x
Fuente: (Amaya, 2014; febrero)

Núcleo: Mellado o curvo con cromatina reticular con pequeños grumos, y en los casos típicos se describe como la célula más grande en sangre periférica.

Citoplasma: Abundante, lleno de gránulos diminutos dispuestos en remolinos, que producen una apariencia nublada o turbia. La membrana citoplasmática puede ser bastante irregular.

Función: Actividad fagocitaria.

Diferenciación: Una vez en los órganos, se transforma en macrófagos, lo que se refleja en el aumento en la capacidad fagocítica, de las sínstesis de proteínas, el número de lisosomas y la cantidad de aparato de Golgi, microtúbulos y microfilamentos (Conceptos básicos del sistema inmunitario, s.f).


LINFOCITOS
La célula troncal para la célula linfoide (CFU-L) madura en distintos sitios. El timo y la médula ósea producen linfoctios, estimulan la diferenciación y son independientes de la estimulación antigénica. Las células que se desarrollan bajo la influencia del timo se denominan linfocito T y tienen un conjunto de receptos y respuestas específicos y únicos. Los linfocitos B provienen de la médula ósea y poseen un conjunto de funciones y capacidades diferentes (Rodak, 2007).

Secuencia de maduración
Linfoblasto
Figura 25. Linfoblasto Muestra: MO
Tinción: Wright. Aumento: 100x
Fuente: (Amaya, 2014; febrero)

El linfoblasto es una célula de tamaño pequeño a mediano (10 -18 µm) (Rodak, 2007).

Núcleo: Redondo a ovalado que contiene cromatina laxa y uno o más nucléolos activos (Rodak, 2007). 

Citoplasma: es escaso y presenta basofilia en grado proporcional a la cantidad de ARN presente (Rodak, 2007).

Diferenciación: Se diferencia a linfocito (Rodak, 2007).

Prolinfocito
Figura 26. Prolinfocito Muestra: MO
Tinción: Wright. Aumento: 100x
Fuente: (Amaya, 2014; febrero)

Núcleo: cromatina levemente más condensada que en el linfoblasto, una reducción en la prominencia nucleolar, cambio en la membrana nuclear (Rodak, 2007).

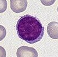
Linfocito
Figura 27. Linfocito Muestra: SP
Tinción: Wright. Aumento: 100x
Fuente: (Amaya, 2014; febrero)


Cuadro 4. Variaciones morfológicas de los linfocitos
Fuente: (Rodak, 2007; p. 137)

La morfología de los linfocitos varía sobre todo en el tamaño. Esta diferencia puede deberse a la actividad de la célula o a la localizacion en el extendido en la que se encuentra. La forma más común es el linfocito pequeño, de alrededor de 9 µm de diámetro (Rodak, 2007).


Núcleo: Redondo a oval y su patrón de cromatina es en bloque (Rodak, 2007).

Citoplasma: escaso y unos pocos gránulos azurófilos (Rodak, 2007).

División: No se divide o se encuentra en estado de reposo (Rodak, 2007).

Referencias bibliográficas:
Amaya, B. (2014, febrero). Diferenciación de células monocíticas y linfocíticas. [Web blogspot]. Recuperado de: http://www.proasecal.com/front/index.php?option=com_content&view=article&id=492:muestra-137&catid=16:hematologia-morfologia

Conceptos básicos del sistema inmunitario. (s.f). EN Principales enfermedades de nuestro tiempo. Recuperado de: http://www.juntadeandalucia.es/averroes/~29701428/salud/inmu.htm

Producción y vida de los leucocitos. (s.f). EN Sabelotodo.org. Recuperado de: http://www.sabelotodo.org/fisiologia/leucocitos.html

Rodak, B. (2007). Hematología: fundamentos y aplicaciones clínicas. (2da. E). Recuperado de: http://books.google.com.gt